Este tablón de anuncios es sólo para miembros registrados.
Los miembros oficiales que hayan pagado la cuota de membresía pueden ver todas las publicaciones.
- Total
- Trastornos de la cabeza
- Enfermedad mental
- Trastornos oculares
- Trastornos nasales
- Trastornos orales
- Trastornos dentales
- Trastornos auditivos
- Trastornos de la garganta
- Neuralgia
- Dolor muscular
- Reumatismo
- Ortopedia
- Tumores/Cáncer
- Endocrino
- Fatiga crónica
- Accidente cerebrovascular/Parkinson
- Trastornos cutáneos
- Trastornos pediátricos
- Trastornos ginecológicos
- Trastornos reproductivos
- Trastornos anales
- Problemas intestinales/urinarios
- Problemas sanguíneos/linfáticos
- Fiebre/sudor/frío
- Trastornos hepáticos
- Enfermedades cardiovasculares
- Trastornos pulmonares
- Trastornos renales
- Trastornos de la vesícula biliar
- Trastornos del intestino delgado/intestino grueso
- Trastornos gastrointestinales
- Trastornos de la vejiga
- Trastornos del bazo/páncreas/apéndice
- Estética
- Desintoxicación
- Columna cervical
- Pecho
- Espalda
- Axila
- Abdomen
- Cintura
- Glúteos
- Extremidades
- Hombro
- Extremidad superior
- Extremidad inferior
- Constitución
- Enfermedad infecciosa
- Dieta de Longevidad
- Otros trastornos
- 
		
			
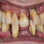
		Read More  Tratamiento Dietético para la Enfermedad PeriodontalTratamiento Dietético para la Enfermedad Periodontal Tratamiento Dietético para la Enfermedad Periodontal (牙周病食疗方) La enfermedad periodontal, conocida en la medicina tradicional china como "牙宣", se caracteriza por la atrofia de las e...Category :Trastornos dentales
- 
		
			
		Read More  Tratamiento Dietético para la Enfermedad PeriodontalTratamiento Dietético para la Enfermedad Periodontal Tratamiento Dietético para la Enfermedad Periodontal (牙周病食疗方) La enfermedad periodontal, conocida en la medicina tradicional china como "牙宣", se caracteriza por la atrofia de las e...Category :Trastornos dentales
 
	 
	 
					
				 
					
				